Prof. Dr.
Murat İlhan Atagün MD, PhD

Psikiyatri Uzmanı

Prof. Dr. Murat İlhan Atagün
20+ yıl akademik deneyim
100+ akademik çalışma
10+ ulusal & uluslararası proje

2009 yılında İstanbul Bakırköy Ruh ve Sinir Hastalıkları Hastanesi'nde psikiyatri uzmanlığını tamamladım. 2016 yılında doçent, 2021 yılında profesör unvanı aldım. Çanakkale Onsekiz Mart Üniversitesi Psikiyatri Ana Bilim Dalı'nda görev yapmaktayım.

2016–2020 yılları arasında Hollanda'daki Maastricht Üniversitesi'nden doktora derecesi aldım. Uluslararası akademik deneyimim; 2009 yılında Almanya'nın Bremen Üniversitesi'nde Kantitatif Elektroensefalografi (qEEG) analiz eğitimi ve 2015 yılında ABD'nin Harvard Üniversitesi'nde Manyetik Rezonans (MRI/fMRI) ve MR Spektroskopi çalışmalarını kapsamaktadır. Avrupa Komisyonu'nda, Amerika Birleşik Devletleri Ulusal Sağlık Enstitüsü'nde, ülkemizde Yüksek Öğretim Kurulu'nda, Sağlık Bakanlığı'nda ve TÜBİTAK'ta görevler aldım, projeler gerçekleştirdim.

Çalışma alanlarım arasında beyin görüntüleme, nörofizyoloji, nörobilişsel testler, Transkraniyal Manyetik Stimülasyon (TMS) ve Transkraniyal Doğru Akım Stimülasyonu (tDCS) tedavileri yer almaktadır. Manyetik rezonans görüntülerini kantitatif olarak analiz ederek hastaya özgü kafa modelleri oluşturuyor; bu modelleri navigasyonlu Transkraniyal Manyetik Stimülasyon (TMS) ve Kantitatif Elektroensefalografi (qEEG) ile birleştirerek kişiye özel tedavi planlaması yapıyorum.

TMS nöromodülasyon tedavisi görseli

Beyin Bilimleri ve Uygulamalı Tedaviler

Modern psikiyatri, beyni anlamak ve hedefe yönelik tedaviler sunmak için ileri teknolojilerden yararlanır.

NeuroConn DC-STIMULATOR PLUS - tDCS cihazı

Transkraniyal Doğru Akım Stimülasyonu (tDCS)

Non-invazif Nöronal Düzenleme

Düşük yoğunluklu elektrik akımıyla nöronal uyarılabilirliği düzenleyen, non-invazif bir beyin stimülasyon yöntemidir. Bilişsel işlevler ve duygudurum bozukluklarında araştırma ve klinik uygulamalarda kullanılmaktadır.

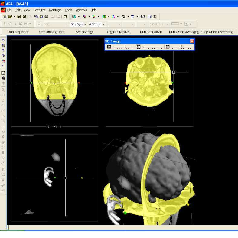
ANT Neuro ASA - MR kaynaklı kafa modeli

Kantitatif MR Analizi & Kafa Modellemesi

Navigasyonlu Transkraniyal Manyetik Stimülasyon için Kişisel Beyin Modelleri

Manyetik Rezonans (MR) görüntüleri kantitatif yöntemlerle analiz edilerek hastaya özgü üç boyutlu kafa modelleri oluşturulmaktadır. Bu modeller, navigasyonlu Transkraniyal Manyetik Stimülasyon (TMS) uygulamalarında hedef bölgenin kesin olarak belirlenmesini sağlar. İşlevsel Manyetik Rezonans Görüntüleme (fMRI) ile elde edilen bağlantısallık verileri ve Elektroensefalografi (EEG) birleştirilerek bireyselleştirilmiş tedavi haritaları hazırlanmaktadır. Bu süreç radyolojik tanı değil; psikiyatrik tedavi planlamasına yönelik nöroanatomik analizdir.

ANT Neuro ASA - qEEG analizi

Kantitatif Elektroensefalografi (qEEG)

EEG-MR Entegrasyonu ile Kişisel Kafa Modelleri

Kantitatif Elektroensefalografi (qEEG), beyin elektrik aktivitesini sayısal yöntemlerle analiz ederek nöronal ağ örüntülerini haritalandırır. Manyetik Rezonans (MR) temelli kafa modelleriyle birleştirildiğinde, elektrik kaynakları üç boyutlu beyin anatomisi üzerinde konumlandırılabilmektedir. Bu entegrasyon, navigasyonlu Transkraniyal Manyetik Stimülasyon (TMS) hedeflemesini güçlendirir ve tedavi yanıtının biyobelirteç bazlı izlenmesine olanak tanır.

Akademik Odak Noktaları

01

Depresyon

Majör depresif bozuklukta nörobiyolojik mekanizmalar, tedaviye direnç belirleyicileri ve Transkraniyal Manyetik Stimülasyon (TMS) ile diğer nöromodülasyon yöntemlerinin etkinliği üzerine araştırmalar.

02

Bipolar Bozukluk

Bipolar bozuklukta nöroenflasyon, oksidatif stres ve nöroplastisite mekanizmaları; duygudurum epizotlarının nöroanatomik ve nörofizyolojik korelatları üzerine klinik ve deneysel çalışmalar.

03

Anksiyete Bozuklukları

Anksiyete bozuklukları, panik bozukluk ve Obsesif Kompulsif Bozukluk’ta (OKB) korku devrelerinin nöroimaj çalışmaları, elektrofizyolojik özellikler ve nöromodülasyon tedavilerine yanıtın araştırılması.

04

Transkraniyal Manyetik Stimülasyon (TMS)

Navigasyonlu Transkraniyal Manyetik Stimülasyon protokollerinin geliştirilmesi; farklı psikiyatrik bozukluklarda etkinlik, kortikal uyarılabilirlik ve tedavi yanıtı öngörücülerinin belirlenmesi üzerine klinik çalışmalar.

05

Transkraniyal Doğru Akım Stimülasyonu (tDCS)

Transkraniyal Doğru Akım Stimülasyonu’nun (tDCS) nöronal uyarılabilirlik üzerine etkileri; duygudurum düzenleme ve bilişsel işlevlere katkısını değerlendiren araştırma ve klinik çalışmalar.

06

Kantitatif Elektroensefalografi (qEEG)

Psikiyatrik bozukluklarda Kantitatif Elektroensefalografi (qEEG) ile nöronal ağ dinamiklerinin haritalandırılması; Manyetik Rezonans (MR) temelli kafa modelleriyle kaynak lokalizasyonu ve tedavi yanıtının elektrofizyolojik biyobelirteçlerle izlenmesi.

07

İşlevsel Manyetik Rezonans Görüntüleme (fMRI) Analizleri

Psikiyatrik bozukluklarda beyin bağlantısallığı ve varsayılan mod ağı (DMN) dinamiklerinin İşlevsel Manyetik Rezonans Görüntüleme (fMRI) ile incelenmesi; elde edilen bağlantısallık haritalarının navigasyonlu Transkraniyal Manyetik Stimülasyon (TMS) hedeflemesine entegrasyonu.

NeuroGuide NeuroNavigator - swLORETA Etkin Bağlantısallık Haritası
NeuroGuide NeuroNavigator — swLORETA yöntemiyle hesaplanan etkin bağlantısallık haritası. Psikiyatrik bozukluklarda nöronal ağ dinamiklerinin üç boyutlu beyin anatomisi üzerinde görüntülenmesi (Applied Neuroscience, Inc.).

Eğitim & Akademik Kariyer

Akademik Unvanlar

  • Profesör Psikiyatri Ana Bilim Dalı Çanakkale Onsekiz Mart Üniversitesi
  • Doçent Psikiyatri
  • Psikiyatri Uzmanı Tıp Doktoru (MD) Bakırköy Ruh ve Sinir Hastalıkları Hastanesi, İstanbul 2009

Doktora & Araştırma

  • PhD — Psikiyatri Nörobilimi Maastricht University, Hollanda 2016–2020
  • Uluslararası Yayınlar SCI-E ve uluslararası hakemli dergilerde çok sayıda makale
  • Uluslararası Akademik Deneyim Harvard Üniversitesi — MRI/fMRI & MR Spektroskopi (2015, ABD) Bremen Üniversitesi — Kantitatif Elektroensefalografi (qEEG) (2009, Almanya)

Uzmanlık Alanları

Bipolar Bozukluk Majör Depresyon Travma & TSSB Obsesif Kompulsif Bozukluk Panik Bozukluk Anksiyete Bozuklukları Uyku Bozuklukları Demans & Alzheimer Alkol Kullanım Bozukluğu Madde Kullanım Bozukluğu Kumar Oynama Bozukluğu Yeme Bozuklukları Davranış Bozukluğu Kişilik Bozukluğu TMS tDCS fMRI qEEG Tedaviye Dirençli Depresyon Nöroplastisite Bilişsel Nörobilim Biyobelirteçler

Randevu & Bilgi

Akademik iş birlikleri, danışmanlık ya da hasta randevusu için aşağıdaki kanallardan ulaşabilirsiniz.

  • Kurum Çanakkale Onsekiz Mart Üniversitesi, Psikiyatri AD
  • Konum Çanakkale, Türkiye

“Her beyin farklıdır. Tedavi de öyle olmalıdır.”

— Prof. Dr. Murat İlhan Atagün